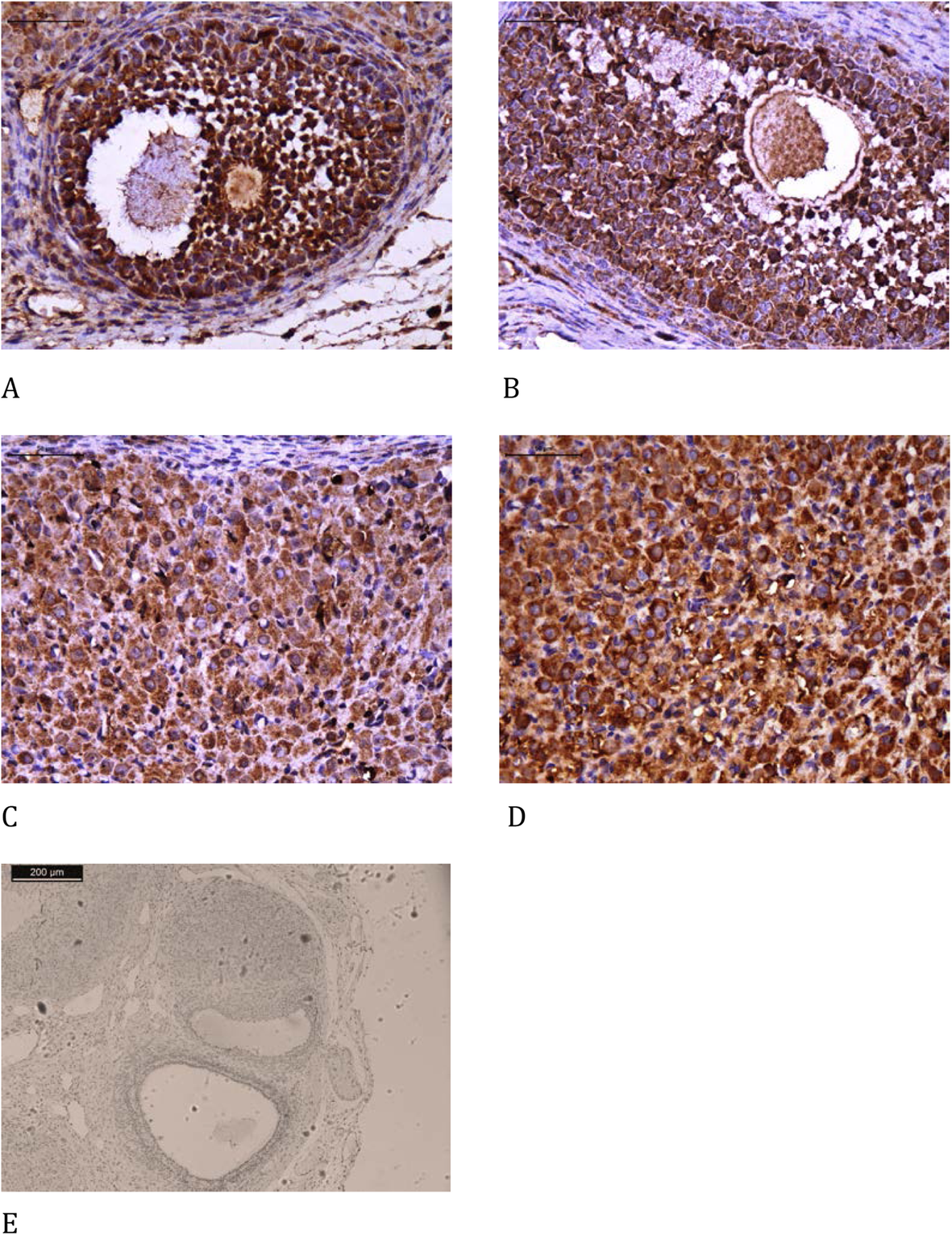
Fig. 2
From: Pretreatment with melatonin improves ovarian tissue cryopreservation for transplantation

Immunohistochemical analysis of cleaved caspase 3 comparing the use of melatonin added to the cryopreservation medium or not, in ovarian rat autologous cryopreserved grafts 30 days after transplantation (n = 10 in each group); a control, follicle, 400×; b melatonin, follicle, 400×; c control, corpus luteum, 400×; d melatonin, corpus luteum, 400×; e negative control, 100×