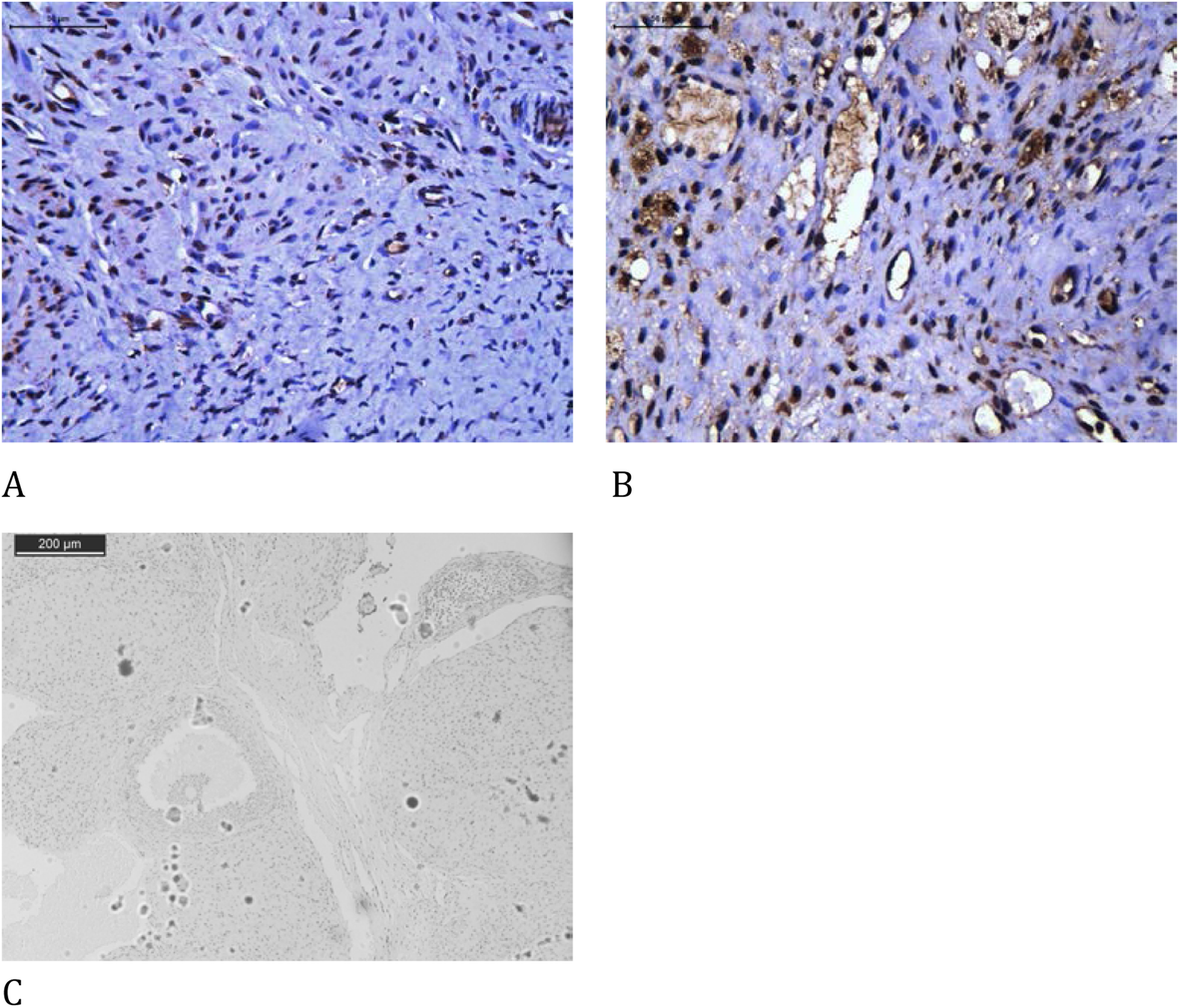
Fig. 7
From: Pretreatment with melatonin improves ovarian tissue cryopreservation for transplantation

Immunohistochemical analysis of von Willebrand factor comparing the use of melatonin added to the cryopreservation medium or not, in ovarian rat autologous cryopreserved grafts 30 days after transplantation (n = 10 in each group); a control, 400×; b melatonin, 400×; c negative control, 100×